
인류를 덫에 빠뜨린 나노플라스틱? 우리가 몰랐던 진실
환경오염의 가장 큰 주범 중 하나로 지목되던 플라스틱. 하지만 이제는 그보다 더 작은, 눈에 보이지 않는 **‘나노플라스틱(Nanoplastics)’**이 인류를 위협하고 있다는 사실, 알고 계셨나요?
유튜브 영상 **"Trap for Humanity / Popular Science Film"**은 이러한 나노플라스틱의 실체와 그 심각성을 조명하고 있으며, 앞으로 우리가 무엇을 해야 하는지에 대한 통찰을 제공합니다.

나노플라스틱이란 무엇인가?
나노플라스틱은 크기가 1나노미터(nm)에서 수백 나노미터 이하인 미세한 플라스틱 입자를 의미합니다. 쉽게 말해, 우리가 육안으로 볼 수 없을 정도로 작고, 공기, 물, 토양 등 어디에나 존재할 수 있습니다.
이들은 다음과 같은 경로로 생성됩니다.
- 플라스틱이 자외선, 바람, 열 등에 의해 분해될 때
- 산업 공정이나 생활용품에서 발생할 때
- 미세플라스틱이 더 작은 입자로 쪼개질 때

영상 속 핵심 내용 요약
"Trap for Humanity" 영상은 나노플라스틱이 다음과 같은 방식으로 인류를 위협한다고 설명합니다.
- 인체 침투 가능성
- 나노 크기의 플라스틱은 혈액, 뇌, 심지어 태반까지 침투할 수 있습니다.
- 연구에 따르면, 출생 전부터 인간의 몸에 나노플라스틱이 존재할 가능성이 제기되고 있습니다.
- 먹이사슬 오염
- 플랑크톤부터 시작해 물고기, 인간에 이르기까지 먹이사슬 전반에 걸쳐 축적됩니다.
- 결국 우리는 우리가 버린 플라스틱을 다시 섭취하게 되는 셈입니다.
- 정확한 영향은 아직 불분명
- 현재로선 정확한 독성 연구가 부족하지만, 세포 손상, 염증 반응 등은 이미 보고된 상태입니다.
- 장기적인 건강 영향은 예측 불가능한 상태입니다.


나노플라스틱 문제의 심각성
- 완전한 제거가 불가능
- 워낙 크기가 작아 기존의 정수 시스템이나 필터링으로는 제거가 거의 불가능합니다.
- 지속적인 환경 축적
- 한 번 배출되면 거의 영원히 자연에서 사라지지 않으며, 계속 축적됩니다.
- 산업과 소비의 악순환
- 화장품, 페인트, 세척제 등 일상에서 너무도 흔하게 쓰이며, 우리는 이를 인지하지 못한 채 사용하고 있습니다.
- 종이컵에서도 나노플라스티마 발견됨.
-
표본 50여 건 분석 결과, 인간 뇌 0.5% 플라스틱? 🧪
이번 연구는 총 52개의 인간 뇌 조직 표본을 분석한 결과입니다. 연구를 주도한 매튜 캠펜 뉴멕시코대 교수는 “현재 우리의 뇌는 99.5%가 뇌 조직이고 나머지는 플라스틱”이라고 설명했습니다. 뇌 조직 내 나노플라스틱 축적의 심각성을 강조한 것입니다.
더욱 충격적인 사실은 뇌 조직에서 검출된 나노플라스틱 농도가 간이나 신장보다 7~30배 높게 나타났다는 점입니다. 이는 플라스틱 입자가 혈액뇌장벽(BBB)을 통과하여 뇌 조직에 선택적으로 축적될 가능성을 시사합니다.
네덜란드 위트레흐트 대학 신경독성학자 엠마 카스틸 교수는 “연구진이 발견한 미세플라스틱 양에 상당한 충격을 받았다”고 말했습니다. 이어 그는 “예상보다 훨씬 높은 수준의 플라스틱 축적량을 확인했다”며 우려를 표명했습니다.
연구진은 나노플라스틱이 뇌에 축적되는 주요 경로로 호흡기를 지목했습니다. 카스틸 교수는 “코를 통해 흡입된 나노플라스틱이 후각 신경구를 거쳐 뇌로 직접 이동하는 경로가 존재한다”며, 다른 장기보다 뇌에서 더 높은 축적량이 발견되는 이유라고 설명했습니다.
특히, 나노플라스틱의 크기가 100~200나노미터에 불과하다는 점이 주목됩니다. 이는 코로나 바이러스 두 개를 나란히 놓은 정도의 크기입니다. 극도로 작은 입자들은 혈액뇌장벽을 쉽게 통과할 가능성이 있습니다.
또한, 나노플라스틱은 지질(지방) 친화성을 가지며, 체내 지방 대사 경로를 따라 이동하는 특징이 있습니다. 캠펜 교수는 “우리가 섭취하는 지방과 함께 나노플라스틱이 체내로 유입되며, 특히 지방 함량이 높은 뇌 조직에 더 많이 축적되는 경향을 보인다”고 설명했습니다.
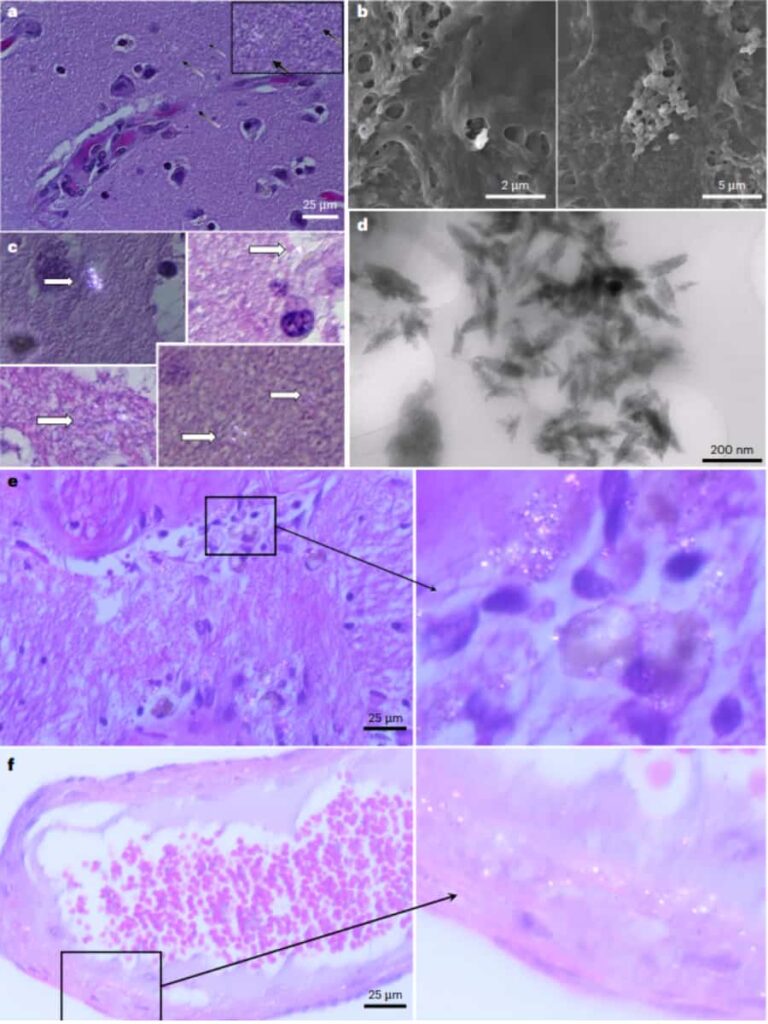
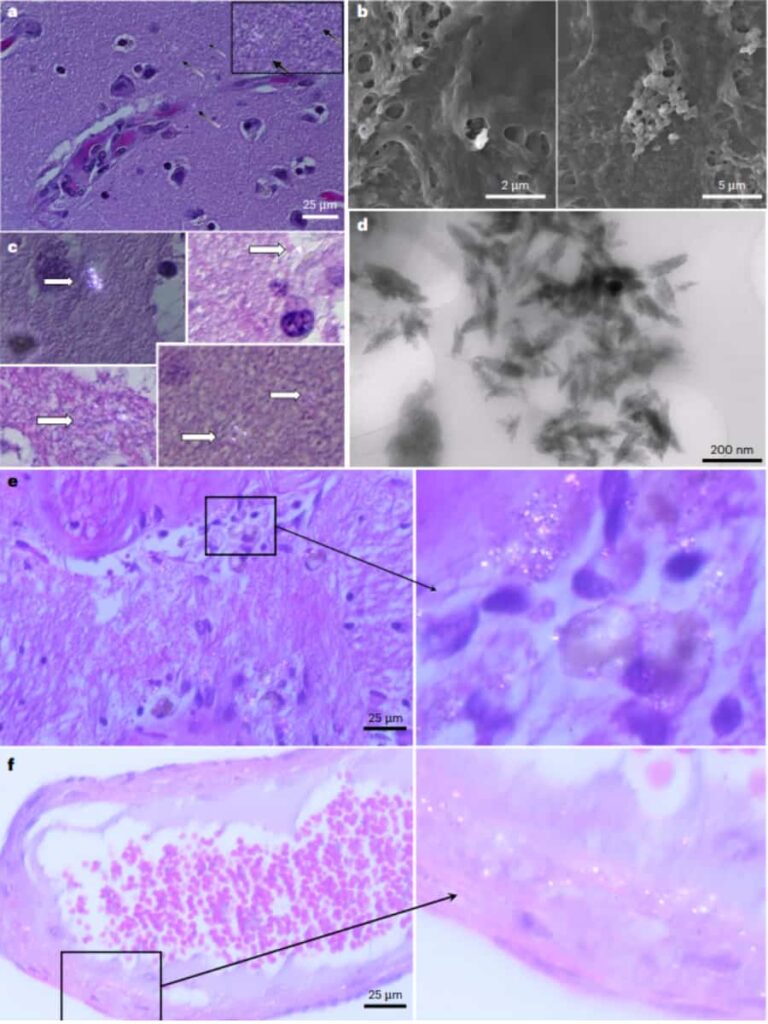
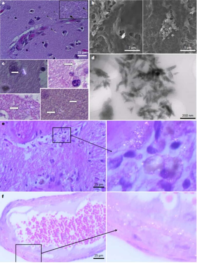
▲ a) 검은 화살표는 뇌 조직 안에서 발견된 나노물질로 의심되는 물질, b) 플라스틱으로 추정되는 물질이 뇌 조직 내에 섞여 있는 모습. c) 흰색 화살표는 나노플라스틱으로 의심되는 입자. d) 뇌 조직에 축적된 고체 입자 e) 치매환자 뇌 조직에 발견된 미세플라스틱. f) 혈관벽 주변에 축적된 나노플라스틱 ©논문 공동저자 Alexander J. Nihart 외 20인
나노플라스틱 축적량, 치매 환자서 3~5배 높아 🧩
연구진은 치매 환자의 뇌 조직에서 정상인 대비 3~5배 많은 나노플라스틱이 검출된 사실을 확인했습니다. 플라스틱 입자는 특히 혈관벽과 면역세포 내에서 높은 농도로 발견되었습니다. 치매와 뇌 질환과의 연관성에 대한 추가 연구가 필요하단 의견이 나옵니다.
반면, 연령과 나노플라스틱 축적량 사이의 뚜렷한 상관관계는 발견되지 않았습니다. 캠펜 교수는 “이는 인체가 일정 부분 플라스틱을 배출할 수 있음을 시사“한다며, “그렇지 않다면 나이가 많을수록 축적량이 증가해야 한다“고 설명했습니다.
간과 신장은 일부 플라스틱을 체외로 배출할 수 있는 것으로 확인되었으나, 뇌에서는 이러한 배출이 가능한지 아직 명확하지 않음이 연구를 통해 드러났습니다. 이는 뇌 조직에서 상대적으로 높은 농도의 플라스틱이 발견되는 원인이 될 수 있습니다.
이와 함께 연구진은 현재의 플라스틱 생산량과 환경 오염 수준을 고려할 때, 향후 인체 내 나노플라스틱 축적이 더욱 가속화될 것으로 전망했습니다.
환경 보건위협 심각, 연구진 “플라스틱 노출 줄여야” 🌍
나노플라스틱 문제는 현대 사회가 직면한 가장 심각한 환경보건 위협 중 하나로 부상하고 있습니다. 특히 뇌 조직에서 전례 없는 수준의 나노플라스틱 축적이 진행되고 있으며, 이에 대한 시급한 대응이 필요함을 시사합니다.
전 세계 플라스틱 생산량은 연간 3억 톤을 초과하며, 2023년 기준 해양에 떠다니는 미세플라스틱만 250만 톤에 달합니다. 이는 2005년 대비 10배 증가한 수치입니다.
현재의 플라스틱 사용 추세가 지속될 경우, 2040년까지 생산량이 2배 증가할 것으로 예상됩니다. 이는 인체 내 나노플라스틱 축적 문제가 더욱 심화될 수 있음을 의미합니다.
특히, 실내 공기에서 검출되는 미세플라스틱 농도가 실외보다 높은 것으로 나타났습니다. 이는 의류, 가구, 생활용품에서 방출되는 플라스틱 입자 때문입니다. 연구진은 일상생활에서의 플라스틱 노출을 줄이는 대책 마련이 시급하다고 강조했습니다.

앞으로의 대책은?
영상에서는 나노플라스틱을 막기 위한 다음과 같은 방향을 제안합니다.
1. 정책적 규제 강화
- 유럽 등 일부 국가는 이미 일부 미세플라스틱 사용 금지에 나섰습니다.
- 더 강력하고 글로벌한 규제가 필요합니다.
2. 플라스틱 사용 자체의 줄이기
- 일회용품 줄이기, 재활용, 리필제품 사용 등은 기본입니다.
- 더 나아가 생분해성 플라스틱 등 대체재로의 전환이 필요합니다.
3. 연구 개발 확대
- 나노플라스틱의 정확한 영향 연구와 측정 기술 개발이 필수입니다.
- 또한, 이를 걸러낼 수 있는 신기술도 시급히 요구됩니다.
4. 개인의 인식 변화
- 소비자로서 우리가 어떤 제품을 선택하느냐도 중요한 변화의 시작입니다.
- ‘친환경 제품’을 선택하는 것만으로도 큰 힘이 될 수 있습니다.,,
- 오히려...친환경 한다면서...종이빨대 또한 또다른 환경 위험을 초래합니다.
- 다시 유리병을 사용해야 하는 상황이지만....이미..잠식 당한 상태이니 각자 조심해야 할 상황입니다.
결론
나노플라스틱은 단순한 환경오염을 넘어, 인류 건강과 생존을 위협하는 보이지 않는 적입니다.
지금 우리가 할 수 있는 작은 변화가 미래 세대를 지키는 커다란 힘이 될 수 있습니다.
이제는 무심코 사용하는 플라스틱에 대해 다시 한번 생각해봐야 할 때입니다.
내가 언제든지 아플 수 있다는 사실을 생각하고 ...갑자기.....쇼크로도 쓰러질 수도 있는 상황이니..... 주어진 것에 늘 감사하고 회개하는 삶을 살아야 겠습니다.
https://youtu.be/NBbbqRzzQGY?si=CUY3f3tZWJDZ_kWn